
Leistungen
Wir behandeln Patientinnen und Patienten mit entzündlich-rheumatischen Erkrankungen. Auf dieser Seite finden Sie einen Überblick über die von uns betreuten Krankheitsbilder sowie über unsere diagnostischen und therapeutischen Schwerpunkte. Ziel unserer Arbeit ist eine präzise Diagnostik und eine individuell abgestimmte, leitliniengerechte Therapie.

Rheumatologische Krankheitsbilder
Der Begriff „Rheuma“ stammt aus dem Altgriechischen („rhéuma“) und bedeutet „Fluss“ oder „Strömung“. Damit wurde ursprünglich der oft wandernde Charakter von Schmerzen beschrieben. Eine einzelne Krankheit namens „Rheuma“ gibt es jedoch nicht. Vielmehr handelt es sich um einen Sammelbegriff für zahlreiche unterschiedliche Erkrankungen, die den Bewegungsapparat betreffen und häufig – aber nicht ausschließlich – mit Gelenkschmerzen oder Gelenkschwellungen einhergehen.
entzündlich-rheumatische Krankheitsgruppen
In der Rheumatologie werden mehrere große Krankheitsgruppen unterschieden. Zu diesen zählen unter anderem:

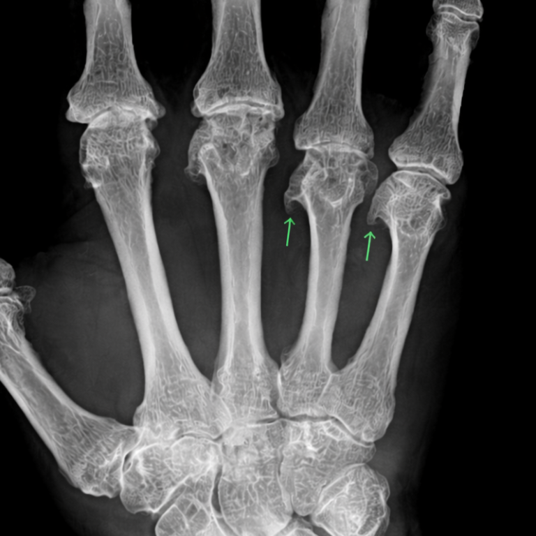
Rheumatoide Arthritis
Die rheumatoide Arthritis ist eine chronisch-entzündliche Autoimmunerkrankung, die vor allem die Gelenke betrifft. Typisch sind schmerzhafte Schwellungen, Morgensteifigkeit und eine zunehmende Bewegungseinschränkung. Unbehandelt kann es zu bleibenden Gelenkschäden kommen, selten sind auch innere Organe beteiligt.
Eine frühzeitige Diagnose und eine konsequente, individuell angepasste Therapie sind entscheidend, um die Entzündungsaktivität zu kontrollieren, Beschwerden zu lindern und die Gelenkfunktion langfristig zu erhalten.

Spondyloarthropathien (z. B. axiale Spondylarthritis, Psoriasisarthritis)
Spondyloarthropathien sind eine Gruppe chronisch-entzündlicher rheumatischer Erkrankungen, die vor allem die Wirbelsäule, die Kreuz-Darmbein-Gelenke sowie periphere Gelenke betreffen können. Häufig treten entzündliche Rückenschmerzen, nächtliche Beschwerden und eine ausgeprägte Morgensteifigkeit auf. Bei der Psoriasisarthritis können zusätzlich Haut- und Nagelveränderungen bestehen.
Auch Sehnenansätze (Enthesitiden) und andere Organsysteme können beteiligt sein. Eine frühzeitige Diagnosestellung und eine gezielte, individuell abgestimmte Therapie sind entscheidend, um Entzündungen zu kontrollieren, Schmerzen zu reduzieren und Funktion sowie Lebensqualität langfristig zu erhalten.

Kollagenosen
Kollagenosen sind seltene, chronisch-entzündliche Autoimmunerkrankungen, bei denen das Immunsystem Bindegewebe und Blutgefäße angreift. Die Erkrankungen können sehr unterschiedliche Organsysteme betreffen, darunter Gelenke, Haut, Muskeln, Nieren, Lunge, Herz und das Nervensystem. Die Beschwerden sind entsprechend vielfältig und reichen von Gelenkschmerzen und Hautveränderungen bis hin zu Allgemeinsymptomen wie Müdigkeit und Leistungsabnahme.
Aufgrund der oft komplexen und wechselhaften Krankheitsverläufe ist eine sorgfältige Diagnostik sowie eine engmaschige, individuell angepasste Therapie besonders wichtig, um Krankheitsaktivität zu kontrollieren, Organschäden zu vermeiden und die Lebensqualität zu erhalten.

Vaskulitiden
Vaskulitiden sind entzündliche Erkrankungen der Blutgefäße, bei denen das Immunsystem die Gefäßwände angreift. Je nach Größe und Art der betroffenen Gefäße können unterschiedliche Organe wie Haut, Nieren, Lunge, Herz oder das Nervensystem beteiligt sein. Typische Symptome sind unter anderem allgemeines Krankheitsgefühl, Fieber, Gewichtsverlust, Hautveränderungen, Muskelschmerzen oder Organschäden.
Frühe Diagnostik und gezielte Therapie sind entscheidend, um die Entzündungsaktivität zu kontrollieren, das Risiko von Folgeschäden zu reduzieren und die Lebensqualität langfristig zu sichern.

Degenerative Erkrankungen
Hierbei handelt es sich um Verschleißerkrankungen des Bewegungsapparates, die durch Über‑ oder Fehlbelastung, Alterungsprozesse oder eine verminderte Knochenqualität begünstigt werden.
Beispiele:
Arthrose der Gelenke
Degenerative Veränderungen der Wirbelsäule (Spondylose)
Sehnen- und Ansatzreizungen (Tendinopathien)


Gicht und Pseudogicht
Diese Erkrankungen sind durch Ablagerungen von Kristallen in Gelenken und Weichteilen bedingt. Bei der Gicht führen erhöhte Harnsäurewerte zu Ablagerungen und schmerzhaften, oft plötzlich einsetzenden Entzündungen von Gelenken. Die Pseudogicht entsteht durch kalziumhaltige Kristalle und betrifft häufiger ältere Menschen.
Neben der Akuttherapie ist eine langfristige Behandlung wichtig, um erneute Entzündungen und Gelenkschäden zu vermeiden.

Diabetes-assoziierte Gelenkerkrankungen
Bei Menschen mit Diabetes mellitus können Veränderungen an Gelenken, Sehnen und Weichteilen auftreten. Dazu zählen unter anderem Bewegungseinschränkungen der Hände, Schulterbeschwerden oder schmerzhafte Sehnen- und Kapselveränderungen. Ursache sind häufig langjährige Stoffwechselveränderungen und Durchblutungsstörungen.
Eine frühzeitige Erkennung und gezielte Behandlung können helfen, Schmerzen zu lindern und die Beweglichkeit zu erhalten.
Hämochromatose (Eisenüberladung)
Die Hämochromatose ist eine Stoffwechselerkrankung, bei der es zu einer übermäßigen Speicherung von Eisen im Körper kommt. Dies kann unter anderem Gelenkbeschwerden und entzündliche Veränderungen verursachen, häufig an Händen, Handgelenken oder Sprunggelenken. Auch innere Organe können betroffen sein.
Eine frühzeitige Diagnose ist entscheidend, da gezielte Therapien zur Verfügung stehen.
Stoffwechselbedingte rheumatische Erkrankungen
Stoffwechselstörungen können zu Ablagerungen oder Entzündungen an Gelenken und Weichteilen führen.
Dazu gehören unter anderem:

chronische Schmerzsyndrome
Wenn trotz sorgfältiger klinischer, bildgebender und laborchemischer Diagnostik keine entzündliche oder strukturelle Ursache nachweisbar ist, jedoch typische Schmerzverläufe bestehen, werden diese Erkrankungen oft dieser Gruppe zugeordnet.
Ein wichtiges Beispiel ist das Fibromyalgiesyndrom.
Hier ist eine interdisziplinäre Behandlung durch Schmerz-, Verhaltens- und Bewegungstherapie wertvoll. Oft kommt eine medikamentöse Verbesserung des Schlafs und der Schmerzverarbeitung in Frage, immunmodulierende Therapien sind nicht etabliert. Daher ist eine dauerhafte Behandlungen durch einen internistischen Rheumatologen in der Regel für die Betroffenen nicht hilfreich.
Diagnostische Leistungen
Für eine fundierte Diagnosestellung setzen wir moderne und etablierte Verfahren ein:
- Farbduplex‑ und Powerdoppler‑Sonographie der Gelenke und Arterien
- Diagnostische und therapeutische Gelenkpunktionen
- Nagelfalz‑Kapillarmikroskopie
- Rheumatologisch‑immunologische Labordiagnostik


Knochendichte und Frakturrisiko
Patientinnen und Patienten mit entzündlich-rheumatischen Erkrankungen haben ein erhöhtes Risiko für Knochendichteverlust und Knochenbrüche. Chronische Entzündung, eingeschränkte Mobilität und bestimmte Medikamente können den Knochenstoffwechsel negativ beeinflussen. Die frühzeitige Erfassung von Knochendichte und Frakturrisiko ist daher ein wichtiger Bestandteil der ganzheitlichen rheumatologischen Betreuung.
Vitamin D und Knochenstoffwechsel
Vitamin D und Knochenstoffwechselparameter spielen eine zentrale Rolle für die Knochengesundheit und das Frakturrisiko. Ein Mangel kann den Knochenabbau begünstigen und die Wirksamkeit einer Osteoporosetherapie beeinträchtigen. Die Bestimmung und gezielte Behandlung dieser Parameter ist ein wichtiger Bestandteil der Diagnostik sowie der Verlaufskontrolle einer spezifischen Osteoporosetherapie.
DXA-Knochendichte-messung
Die DXA-Knochendichtemessung ist eine etablierte Röntgenuntersuchung mit sehr niedriger Strahlenbelastung zur Bestimmung der Knochendichte. Sie ermöglicht eine zuverlässige Einschätzung des Frakturrisikos und dient als Grundlage für Therapieentscheidungen. In unserer Praxis bieten wir die DXA-Messung als individuelle Gesundheitsleistung (IGeL) an.

Therapeutische Leistungen
Die Therapie erfolgt individuell, orientiert an aktuellen wissenschaftlichen Leitlinien und Ihrer persönlichen Lebenssituation.
Unser therapeutisches Spektrum umfasst:
- Medikamentöse Therapie mit sämtlichen konventionellen DMARDs
- Einsatz moderner Biologika und gezielter Zytokin‑/Signalweg‑Inhibitoren
- Intraartikuläre Injektionen und lokale Therapieverfahren
- Langfristige Verlaufskontrollen und Therapieanpassungen
Gerne beraten wir Sie persönlich zu Diagnostik und Therapieoptionen und erstellen gemeinsam mit Ihnen ein individuelles Behandlungskonzept.
